Atrial septal defect (ASD occlusion)

Defects located in the centre of the dividing wall between the atria (ASD) are very suitable for the implantation of an "umbrella" or, in medical terms, an occluder. The implants are usually made of nickel-titanium or medical steel. Both metals have been used successfully in medicine for years and are well tolerated by the body.
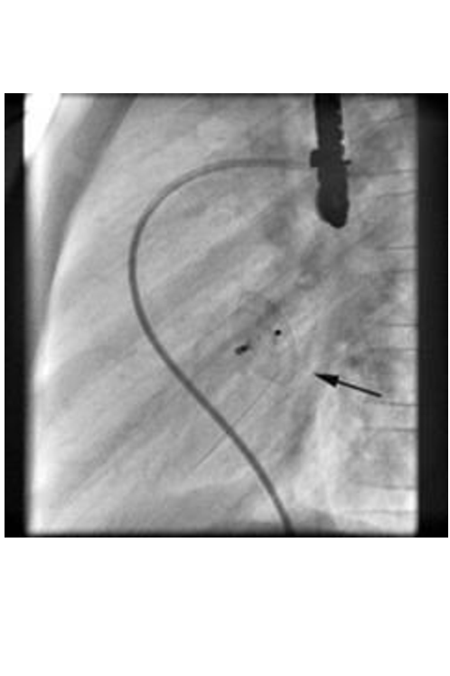
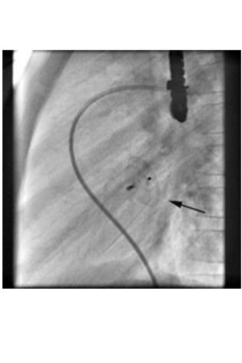
The catheter is first inserted into the right ventricle via the inguinal vein and into the left ventricle via the ASD. The ASD is then precisely measured using a filled balloon catheter (balloon sizing). The appropriate occluder is selected according to the size determined. During implantation, the umbrella is folded in such a way that it can be pushed through a thin tube (sheath) via the inguinal vein into the heart. The umbrella only takes on its actual shape once it has been pushed out of the sheath. The final position is then checked by a cardiac ultrasound and the occluder can then be unscrewed from the retaining cable. The occluder remains in the heart for life and is overgrown with the patient's own heart tissue.
Patients are given a blood thinner (aspirin) for a period of 6 months to prevent blood clots from forming on the implant.