Eröffnung des CD-Labors für Portale Hypertension und Fibrose bei Lebererkrankungen
Nach der Aktivierung werden Daten an YouTube übermittelt. Weitere Infos hier: Datenschutzerklärung
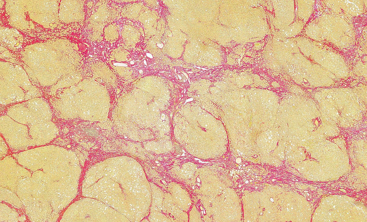
Im neuen CD-Labor an der MedUni Wien wird Grundlagenforschung zu Entstehung und Behandlungsmöglichkeiten von Pfortaderhochdruck und Fibrose bei Lebererkrankungen betrieben. Im Fokus steht die Identifikation von molekularen Mechanismen, die essentiell zur Gewebsvernarbung (Fibrogenese) und zu pathologischen Veränderungen an der Blutgefäßversorgung der Leber beitragen. Daraus sollen neue Therapieansätze für die Behandlung von Portaler Hypertension und Leberfibrose entwickelt werden.