Rhythmusstörungen (allgemein)
Vereinfacht gibt es zu langsame und zu schnelle Rhythmusstörungen (Herzrasen). So kann eine Störung des Sinusknotens oder AV Knotens den Herzschlag verlangsamen und so Leistungsschwäche, Schwindel und schlimmstenfalls Bewusstlosigkeit hervorrufen.
Schnelle Rhythmusstörungen entstehen z.B. durch Muskelzellen, die „von sich aus elektrisch aktiv werden“ und so Extraschläge im Herzen hervorrufen.
Andere Ursachen für Herzrasen sind zusätzliche Leitungsbahnen oder „Kurzschlußverbindungen“ im Bereich des eigenen Reizleitungssystems. Als Patient verspürt man die schnellen Rhythmusstörungen häufig als Herzklopfen / -stolpern oder Herzrasen.
Gefährlich sind die besonders schnelle Herzrhythmusstörungen, da diese zu Bewusstlosigkeit und schlimmstenfalls sogar zum Tod führen können. Auf jeden Fall sollten Herzrhythmusstörungen genau untersucht werden, um harmlose von gefährlichen zu unterscheiden und ggf. eine entsprechende Therapie zu beginnen.
Diagnostik von Herzrhythmusstörungen
Langzeit EKG und Ereignis-Aufzeichnungsgerät (Eventrecorder)
Rhythmusstörungen sind häufig nicht anhaltend vorhanden, sondern treten sporadisch auf. Damit man sie erfassen kann, muß über einen längeren Zeitraum (24-48 h) ein EKG (Langzeit EKG) aufgezeichnet werden. Manchmal sind die Rhythmusstörungen auch so selten, dass sie auch im LZ-EKG nicht unbedingt erfasst werden. Dann hilft ein so genannter Eventrecorder, der nur aktiviert wird, wenn die Patienten die Symptome verspüren.
Elektrophysiologische Untersuchung (EPU)

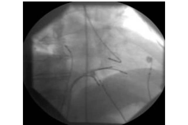
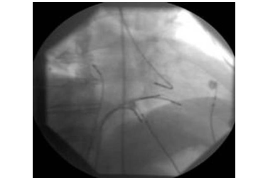
Für eine genaue Diagnose der Rhythmusstörungen reicht häufig die EKG Aufzeichnung von der Körperoberfläche nicht aus. Man benötigt dann „EKGs“ direkt vom Herz. Dazu werden dem Patienten in Sedoanalgesie und nach örtlicher Betäubung über die Vene in der Leiste dünne Elektroden in das Herz gelegt, um dort direkt die elektrische Aktivierung aufzuzeichnen (Abb1)
Katheterablation

Ein besonderer Vorteil der elektrophysiologischen Untersuchung ist, dass man viele Rhythmusstörungen in einer Sitzung diagnostizieren und dann auch gleich therapieren kann. Man verwendet hierzu steuerbare Elektroden, die an der Spitze heiß (oder auch kalt) werden können. Dadurch wird das an die Elektrodespitze angrenzende Gewebe im Herzen verödet (Katheterablation).
Bei komplexen Rhythmusstörungen werden „elektroanatomische“ 3-dimensionale Orientierungsverfahren angewendet (CARTO siehe Abb.2). Man kann damit räumlich die Ausbreitung und Rückbildung der elektrischen Aktivität darstellen und so wesentlich genauer die Rhythmusstörung orten und therapieren.
In den letzten 10 Jahren wurden 342 Kinder und Jugendliche mit Rhythmusstörungen abladiert. Dabei wurden auch komplexe Verfahren wie transseptale Punktion, CARTO merge (Abb.3) und magnetische Navigationsverfahren eingesetzt.